1 : 2025/10/02(木) 12:34:29.166 ID:+yHICo8x0
4 : 2025/10/02(木) 12:35:17.741 ID:T46+O42E0
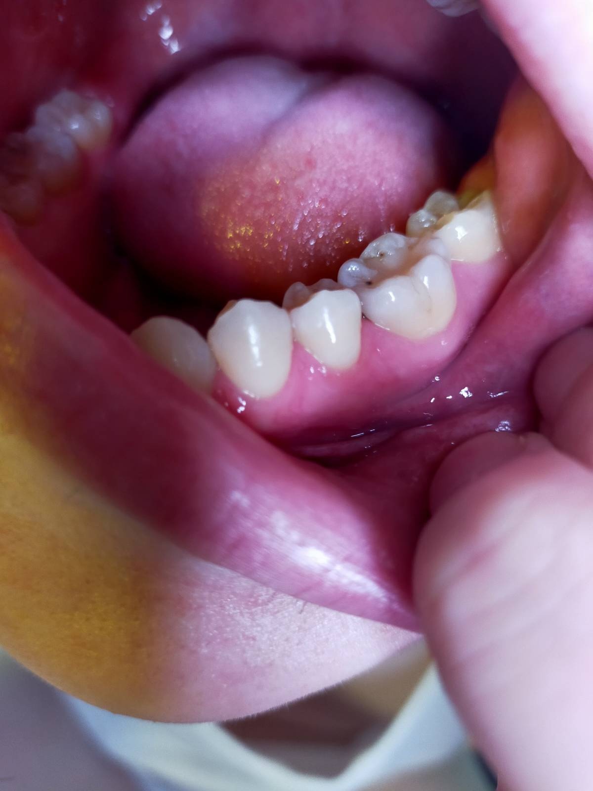
間違いなく癌だよ
歯癌
歯癌
7 : 2025/10/02(木) 12:36:05.730 ID:+yHICo8x0
>>2
歯にもホクロってあるんだ
>>3
画質悪いと伝わんねえだろ
>>4
嘘だろ?
歯にもホクロってあるんだ
>>3
画質悪いと伝わんねえだろ
>>4
嘘だろ?
6 : 2025/10/02(木) 12:36:02.102 ID:+QtUo/Yt0
vipperにしては汚くない-1145141919点
9 : 2025/10/02(木) 12:38:00.405 ID:+yHICo8x0
>>5
早期発見できてよかったかもしれない
>>6
いつも歯科衛生士の人に褒められてたからな
もう1年以上いってないけど
早期発見できてよかったかもしれない
>>6
いつも歯科衛生士の人に褒められてたからな
もう1年以上いってないけど
8 : 2025/10/02(木) 12:37:09.193 ID:+yHICo8x0
金なくて1年以上歯医者行ってなかった
ちなみにマイナンバーの電子証明書の期限切れてるから今保険使えない
ちなみにマイナンバーの電子証明書の期限切れてるから今保険使えない
10 : 2025/10/02(木) 12:38:35.685 ID:nW3TAAsh0
歯少なくね?
11 : 2025/10/02(木) 12:39:23.138 ID:Ehr0wDUj0
エレンが見た景色
13 : 2025/10/02(木) 12:40:49.246 ID:+yHICo8x0
>>10
なんでだろ
親知らず抜いたからかな
>>11
こわい
なんでだろ
親知らず抜いたからかな
>>11
こわい
12 : 2025/10/02(木) 12:39:30.097 ID:+yHICo8x0
ポリッピー食ったあとし歯間ブラシしたらなんかはさまってる感じしたから
ピーナッツかと思ったけどいくらやっても取れないから
多分欠けた歯の一部だったんだと思う
ピーナッツかと思ったけどいくらやっても取れないから
多分欠けた歯の一部だったんだと思う
14 : 2025/10/02(木) 12:41:16.250 ID:Uci2RqNc0
精液ついてるじゃん
17 : 2025/10/02(木) 12:43:20.484 ID:+yHICo8x0
>>14
ついてねーよ
ついてねーよ
15 : 2025/10/02(木) 12:42:00.461 ID:+yHICo8x0
16 : 2025/10/02(木) 12:42:45.135 ID:+yHICo8x0
まじで金ないんだけどこれ歯医者行かないとまずいよな
18 : 2025/10/02(木) 12:43:22.960 ID:Uci2RqNc0
>>16
スマホ売れば金になるだろ。
スマホ売れば金になるだろ。
19 : 2025/10/02(木) 12:44:16.190 ID:+yHICo8x0
>>18
お前らとお話できなくなるだろ
お前らとお話できなくなるだろ
20 : 2025/10/02(木) 12:45:08.000 ID:Uci2RqNc0
乳首はうpしないの?
21 : 2025/10/02(木) 12:45:10.057 ID:6MKLHmYjM
👀虫歯だけどまだ小さいから治療しないかも。僕も定期的に歯医者通ってるけど小さいのはそのままにされてる。
24 : 2025/10/02(木) 12:47:22.475 ID:+yHICo8x0
>>20
なんで???
>>21
マジで?歯の上じゃなくてあいだの方だぞ?結構デカイ虫歯に見えるんだが
なんで???
>>21
マジで?歯の上じゃなくてあいだの方だぞ?結構デカイ虫歯に見えるんだが
22 : 2025/10/02(木) 12:46:19.665 ID:+yHICo8x0
ギリ健の俺は人と同じようには働けなくてもなんとか自分ができる範囲で働いて努力してるのに歯医者にも行けない
一方ナマポ受給者は働かずに病院行き放題
これが平等か?
一方ナマポ受給者は働かずに病院行き放題
これが平等か?
23 : 2025/10/02(木) 12:47:05.224 ID:6rZj9eKLa
虫歯っぽいなぁもし洗ってみてとれたら黒い歯石なんだけどその奥歯一回治療してるとこだし虫歯になりやすい歯だし
虫歯ならレントゲンとったら黒く映るよ
虫歯ならレントゲンとったら黒く映るよ
26 : 2025/10/02(木) 12:49:39.948 ID:+yHICo8x0
>>23
めっちゃ念入りにフロスしたけど取れなかったぞ
なんか刺さって出血して黒く見えるのかなとも思ったけど
やっぱり虫歯っぽいよな
めっちゃ念入りにフロスしたけど取れなかったぞ
なんか刺さって出血して黒く見えるのかなとも思ったけど
やっぱり虫歯っぽいよな
28 : 2025/10/02(木) 12:50:31.287 ID:xgbORb0NM
>>26
歯石でも黒いのは強いからフロスじゃ取れないけどね
歯石でも黒いのは強いからフロスじゃ取れないけどね
25 : 2025/10/02(木) 12:48:54.091 ID:dGB5hcFa0
乳首の様子で虫歯の状態が分かるから
27 : 2025/10/02(木) 12:50:13.793 ID:+yHICo8x0
29 : 2025/10/02(木) 12:50:32.366 ID:dGB5hcFa0
>>27
綺麗だな
綺麗だな
30 : 2025/10/02(木) 12:52:45.175 ID:+yHICo8x0
>>28
歯石でも早く歯医者で取ってもらった方がいいよな
>>29
ありがとう
歯石でも早く歯医者で取ってもらった方がいいよな
>>29
ありがとう
31 : 2025/10/02(木) 12:53:13.451 ID:BiI8J1Jm0
ヘソもうpしてくれ
32 : 2025/10/02(木) 12:55:32.805 ID:+yHICo8x0
33 : 2025/10/02(木) 12:55:38.630 ID:tPhqVRov0
ホクロらしい
34 : 2025/10/02(木) 12:55:49.548 ID:Ehr0wDUj0
こいつ女だろ
37 : 2025/10/02(木) 13:00:11.962 ID:+yHICo8x0
>>33
ホクロじゃねぇよ
>>34
別に隠してないけどホルモンやってるおっさんだぞ
ホクロじゃねぇよ
>>34
別に隠してないけどホルモンやってるおっさんだぞ
36 : 2025/10/02(木) 12:57:03.732 ID:yCV7KMeb0
この汚いホクロホモてんただろ
4ね
4ね
38 : 2025/10/02(木) 13:00:39.231 ID:P9iFD0630
髭生えてないね







コメント